
Damage or severe decay shouldn’t hold you back from a beautiful, functional smile. Restore your tooth with a natural-looking, durable dental crown.
David’s Story: How Treating Sleep Apnea Changed His Life
David shares his personal journey with sleep apnea, highlighting the challenges he faced and the improvements he experienced after treatment. His story offers insight into the impact of sleep apnea and the benefits of seeking medical help.
Testimonials

Why should I choose dental crowns?
Dental crowns are used for a variety of restorative and cosmetic treatments. For instance, they are the recommended treatment option for patients suffering from damaged, broken, or severely decayed teeth. After the damage and decay is cleared and the existing tooth structure is shaped into a sturdy platform, a dental crown can be placed. These tooth-shaped caps cover the natural tooth down to the gum line to protect the remaining tooth while maintaining the look, feel, and functionality of your smile. Crowns are also commonly used to complete root canal therapy or a dental implant procedure.
See What Patients Are Saying
Read Our Reviews
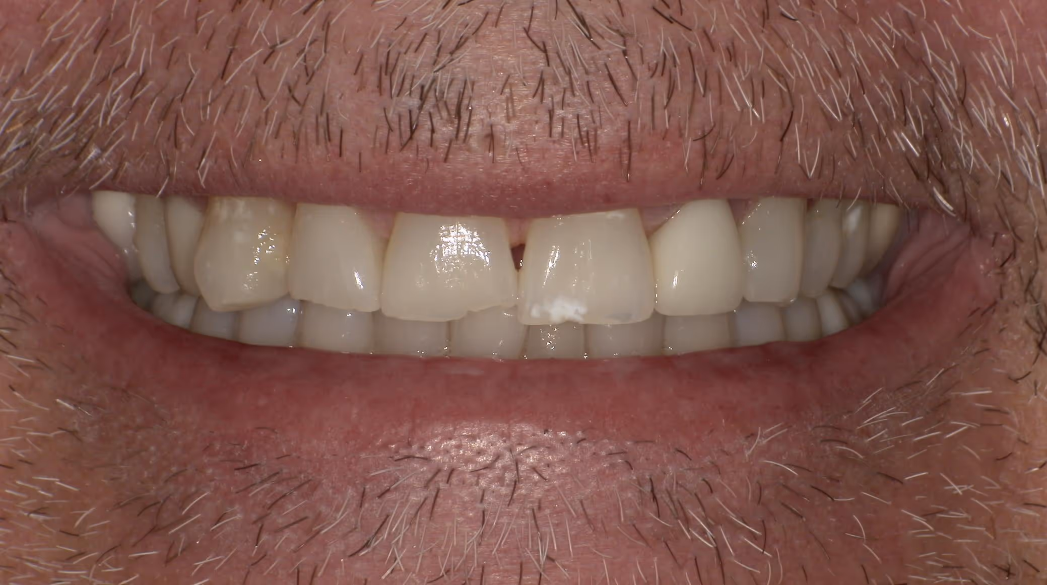
See the Before and After
Veneers
.avif)
.avif)








Did you know…
Dental crowns can be made out of metals, porcelain, resin, and ceramics.
Source: Cleveland Clinic
Ready to
schedule your appointment?

Accessible Care For All
You don’t need to rely on dental insurance to get the care you need. We strive to keep quality dentistry affordable and accessible by providing a variety of ways to finance your treatment.
The Benefits of Dental Crowns
Natural Tooth Roots Are Retained
Crowns protect the natural tooth and root structure that remains after decay has been cleared away.
Matches Your Natural Smile
Lab-made dental crowns are designed to look and feel just like your natural teeth and blend in with your smile.
Durable & Longlasting
A properly made crown can last up to 15 years with good oral hygiene habits. Ask your dentist for ways to enhance the longevity of your new crown.
The Dental Crown Treatment Process
Preparing The Tooth
To start the procedure, your dentist will clean your mouth and apply local anesthesia for comfort. Based on your preference or your dentist's assessment, you may also receive sedation. Next, the decayed enamel will be removed with a dental drill. This process also involves reshaping your tooth to provide a sturdy base for the placement of a dental crown.
Imaging & Temporary Crown Placement
The process of creating your custom dental crown starts with obtaining impressions of your teeth. This can be done through the use of dental putty or a cutting-edge 3D scanner. To ensure a seamless integration with your natural smile, we'll also take some supplementary images of your teeth. Your impressions will then be forwarded to a dental laboratory for the fabrication of your crown using durable materials. During this time, your dentist will place a temporary crown to safeguard your recently shaped tooth until the completion of your permanent crown.
Final Fit & Finish
Once your permanent dental crown is complete, you'll be scheduled for a final fitting at our office. Our team will conduct a thorough examination to confirm the comfort and proper fit of your crown, making any necessary modifications. Once the fit is deemed satisfactory, your dentist will securely fasten the crown in place using a strong dental adhesive. This final fitting completes the dental crown process.
Before & Afters
A smile is worth 1,000 words.
Frequently Asked Questions
What issues can a dental crown treat?
Dental crowns are a common solution for treating teeth that have been impacted by decay or damage. Patients with severe cavities and those who have experienced dental trauma, resulting in cracked, chipped, or broken teeth may also benefit from a dental crown. Additionally, individuals who have undergone root canal therapy often require a crown to complete the procedure as it serves to protect the tooth from future problems by capping it down to the gumline. Crowns can also be used to restore the shape, appearance, and functionality of teeth. They can be used in cosmetic cases as an alternative to veneers or dental bonding.
How do I know if I need a dental crown?
If you are experiencing pain, discomfort, or have visible damage or discoloration in your teeth due to decay or trauma, you may be a candidate for a dental crown. It’s always necessary to consult with your dentist to see if a crown can help address your oral health concerns. Scheduling an appointment with your dentist will allow for a thorough evaluation and help them determine if a crown is the right solution for you.
How long do dental crowns last?
When crafted and placed correctly, dental crowns have the potential to last up to 15 years. Maintaining good oral hygiene habits, such as brushing your teeth twice daily and flossing once daily, along with regular dental check-ups and cleanings every 6 months, can contribute to the longevity of your crown. Although same-day crowns may not be as durable, they can still provide long-lasting results with appropriate care and maintenance.
How do I care for my dental crown?
Caring for your dental crown is simple and similar to caring for your natural teeth. Implementing a routine of brushing for at least two minutes twice daily and flossing at least once, especially before bed, is crucial for maintaining the health of your crown. Regular dental visits every six months and avoiding consumption of excessively hard or sticky foods can also aid in preserving the longevity of your dental crown.
Are dental crowns covered by insurance?
Dental crowns that are recommended as a restorative treatment are often covered by insurance policies. The amount of coverage, and how much you will have to pay, will vary based on your plan. Dental crowns for cosmetic purposes may not be covered by insurance. Check with your dental insurance provider to find out if dental crowns are covered under your policy.



.png)
.webp)
.webp)
%201.avif)

