David’s Story: How Treating Sleep Apnea Changed His Life
David shares his personal journey with sleep apnea, highlighting the challenges he faced and the improvements he experienced after treatment. His story offers insight into the impact of sleep apnea and the benefits of seeking medical help.
Testimonials
See What Patients Are Saying
Read Our Reviews
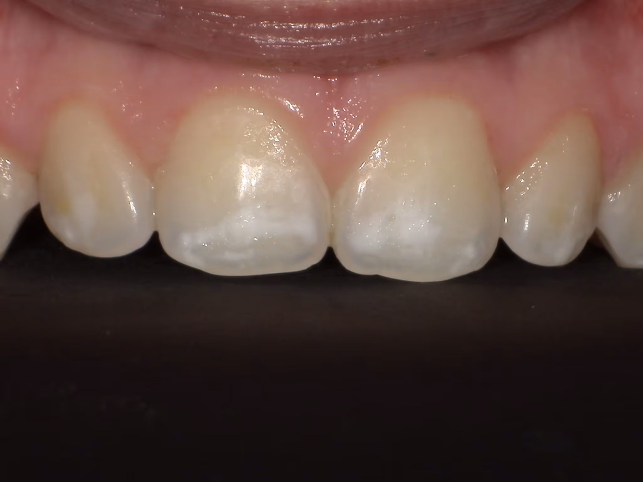
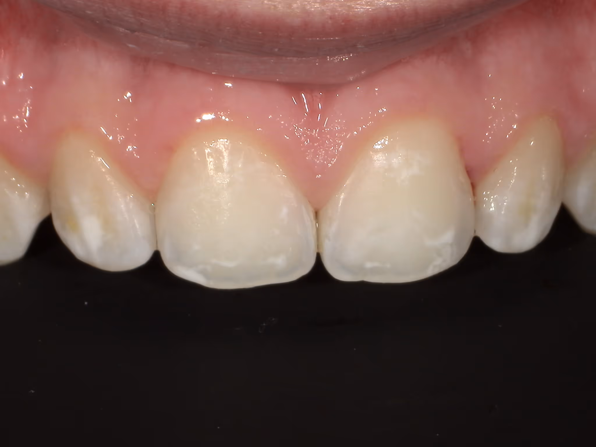
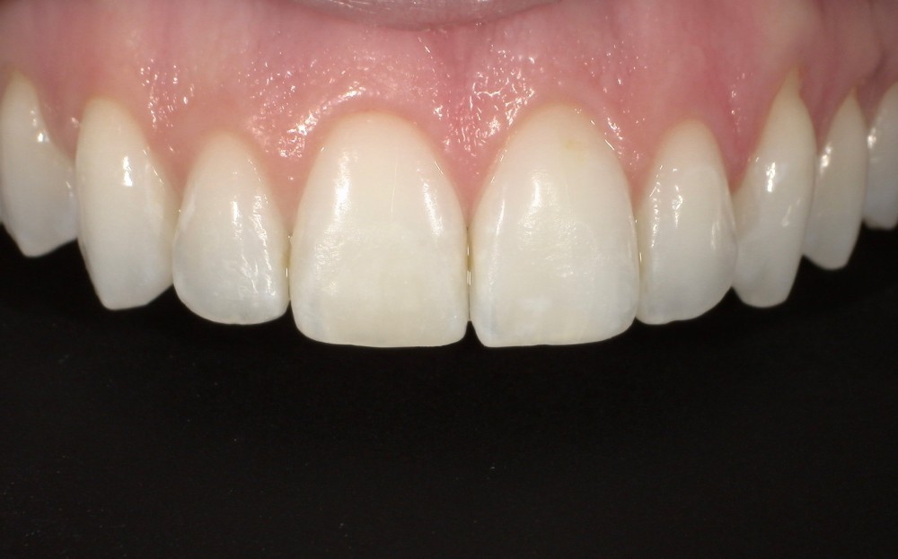
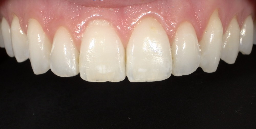
See the Before and After
Veneers


%20(1).avif)


.avif)
Did you know…
Ready to
schedule your appointment?

No items found.
No items found.
Before & Afters
A smile is worth 1,000 words.
See real patient success stories.
Frequently Asked Questions
Check out these frequently asked questions, or call us to speak with our team.
No items found.




.png)
.webp)
.webp)
%201.avif)